Root Canal Treatment in Faisalabad-Save Your Natural Tooth Painlessly
Are you struggling with severe tooth pain, sensitivity, or swelling? You may need a Root Canal Treatment, also known as RCT. At Bright Smile Dental Clinic in Khurrianwala, Faisalabad, we offer safe, comfortable, and painless root canal procedures using advanced technology and sterilized equipment.
Single Visit Root Canal Treatment in Faisalabad
With painless, single-siting root canal procedures that preserve your natural tooth without breaking the bank, we at Bright Smile Dental Clinic are revolutionising dental care in Faisalabad. In order to make your experience comfortable and stress-free, our clinic, which is known as Khurrianwala’s Best RCT specialists Clinic, combines cutting-edge rotary technology, gentle anaesthesia techniques, and transparent pricing. Because your smile deserves the best endodontic care in Faisalabad, we prioritise same-day relief for severe toothaches, backed by a 98% success rate. [/caption]
What Is Root Canal Treatment ?
A root canal Treatment (RCT) is a specialized dental procedure that removes infected or dead pulp tissue from inside a tooth. The canal is then cleaned, disinfected, and sealed with biocompatible material to preserve the natural tooth structure.
It’s the best way to save a damaged or decayed tooth and avoid extraction.
Do You Need a Root Canal Treatment ?
If you are experiencing any of the following symptoms, it’s time to book an appointment immediately:
- Severe toothache, especially while chewing
- Sensitivity to hot or cold that lingers
- Swelling of the gums or face
- Tooth discoloration or blackening
- Recurring pimple on the gums (sinus tract)
Procedures At Bright Smile Dental Clinic Faisalabad
- Root Canal Treatment
- Scaling
- Teeth Whitening
- Dental Implant
- Braces
- Dental Fillings
- Veeners
- Crown Bridges
- Extractons
- Dental Xrays
- Aligners
- Dentures
Meet The Best Dentists In Faisalabad
Lorem ipsum dolor sit amet, consectetur adipiscing elit. Ut elit tellus, luctus nec ullamcorper mattis, pulvinar dapibus leo.
Lorem ipsum dolor sit amet, consectetur adipiscing elit. Ut elit tellus, luctus nec ullamcorper mattis, pulvinar dapibus leo.
Our Painless Root Canal Procedure
At Bright Smile Dental Clinic, we prioritize your comfort. Our root canal procedure includes following steps:-
| Step | Image | Procedure | Details |
|---|---|---|---|
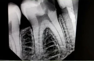
| 1 |
| Digital X-ray | We use a high-resolution dental X-ray to precisely locate the infected tooth area before starting the root canal treatment at Bright Smile Dental clinic Faisalabad. |
| 2 |
| Local Aneasthesia | We apply a strong anesthetic to numb the area, ensuring a completely pain-free root canal treatment. |
| 3 |
| Removal of Infected Pulp | Using modern rotary endodontics, we gently remove the infected tissue from the root canals. |
| 4 |
| Disinfection | The root canals are thoroughly disinfected to eliminate bacteria and prevent reinfection. |
| 5 |
| Obturation & Filling | We fill and seal the canals with biocompatible material (Obturation) to ensure long-term protection. |
| 6 |
| Placement of a Dental Crown | A PFM or Zirconia Crown crown is placed to restore strength, shape, and function of root canal treated tooth. |
We use advanced rotary endodontics and apex locators to ensure precise, faster, and minimally painful root canal treatments.






